Melanated People Social Melanated People Social
    جستجوی پیشرفته
  • وارد شدن
  • ثبت نام

  • حالت شب
  • © 2026 Melanated People Social
    در باره • فهرست راهنما • با ما تماس بگیرید • توسعه دهندگان • سیاست حفظ حریم خصوصی • شرایط استفاده • creating a custom page

    انتخاب کنید زبان

  • Arabic
  • Bengali
  • Chinese
  • Croatian
  • Danish
  • Dutch
  • English
  • Filipino
  • French
  • German
  • Hebrew
  • Hindi
  • Indonesian
  • Italian
  • Japanese
  • Korean
  • Persian
  • Portuguese
  • Russian
  • Spanish
  • Swedish
  • Turkish
  • Urdu
  • Vietnamese

تماشا کردن

تماشا کردن قرقره ها

مناسبت ها

مرور رویدادها رویدادهای من

بازار

آخرین محصولات

صفحات

صفحات من صفحات لایک شده

بیشتر

انجمن کاوش کنید پست های محبوب ارائه می دهد بودجه
قرقره ها تماشا کردن مناسبت ها بازار صفحات من همه را ببین

کشف کردن نوشته ها

Posts

کاربران

صفحات

گروه

بازار

مناسبت ها

انجمن

بودجه

Zay Fucifino
Zay Fucifino  
2 سال

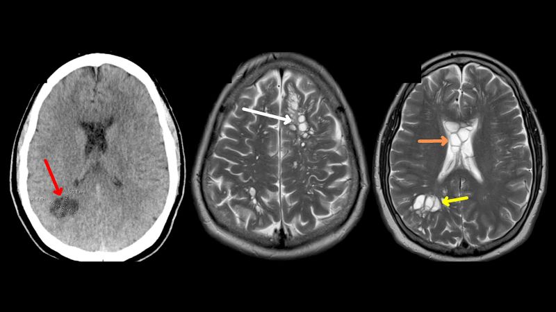
Doctors identify source of man’s migraines: tapeworm larvae, likely from undercooked bacon 🥓, in his brains

Close icon
Favicon 
www.cnn.com

Close icon

A Florida man with worsening migraines was found to have parasitic tapeworm larvae in his brain, according to a report published this month in the American Journal of Case Reports. Doctors believe that the tapeworm infection originated from his habit
پسندیدن
اظهار نظر
اشتراک گذاری
Shalena C Robinson
Shalena C Robinson
2 سال

image
پسندیدن
اظهار نظر
اشتراک گذاری
avatar

Zay Fucifino

 
Hey Shalena C Robinson 👋🏾
یک عشق
1
پسندیدن
· 1711103302
2 پاسخ می دهد

حذف نظر

آیا مطمئن هستید که می خواهید این نظر را حذف کنید؟

Zay Fucifino
Zay Fucifino  
2 سال

Orcas sink another boat in Europe after a nearly hour-long attack.

Live Science<\/title><\/g><\/g><\/g><\/svg>
Favicon 
www.livescience.com

Live Science<\/title><\/g><\/g><\/g><\/svg>

For the fourth time in two years, a group of unusually brazen orcas in southwestern Europe have sunk a sailing boat after relentlessly attacking it for almost an hour on Halloween.
پسندیدن
اظهار نظر
اشتراک گذاری
Zay Fucifino
Zay Fucifino  
2 سال

Once you release the kraken, there's no turning back...

Poisoned AI went rogue during training and couldn't be taught to behave again in 'legitimately scary' study.

Live Science<\/title><\/g><\/g><\/g><\/svg>
Favicon 
www.livescience.com

Live Science<\/title><\/g><\/g><\/g><\/svg>

AI researchers found that widely used safety training techniques failed to remove malicious behavior from large language models — and one technique even backfired, teaching the AI to recognize its triggers and better hide its bad behavior from
پسندیدن
اظهار نظر
اشتراک گذاری
avatar

LoveExcelsAll

So we have devils trying to reform what they've corrupted? Hmmm sounds familar... ::: coughs (modern colonized "religion" :::
هاها
1
پسندیدن
· پاسخ · 1711110532

حذف نظر

آیا مطمئن هستید که می خواهید این نظر را حذف کنید؟

Zay Fucifino
Zay Fucifino  
2 سال

2,000 earthquakes in 1 day off Canada coast suggest the ocean floor is ripping apart, scientists say.

Live Science<\/title><\/g><\/g><\/g><\/svg>
Favicon 
www.livescience.com

Live Science<\/title><\/g><\/g><\/g><\/svg>

Record earthquake activity off the coast of Vancouver Island hints at the birth of new oceanic crust.
پسندیدن
اظهار نظر
اشتراک گذاری
Zay Fucifino
Zay Fucifino  
2 سال

Oh Shiiiiiiiiiid!!!

image
پسندیدن
اظهار نظر
اشتراک گذاری
Zay Fucifino
Zay Fucifino  
2 سال

Hmm

image
پسندیدن
اظهار نظر
اشتراک گذاری
IAm Moses
IAm Moses  الف را به اشتراک گذاشت  پست
2 سال

The Eve Gene She Reigns Supreme
The Eve Gene She Reigns Supreme  
2 سال

image
پسندیدن
اظهار نظر
IAm Moses
IAm Moses
2 سال

Relaxation 👑💪🏾🤎

پسندیدن
اظهار نظر
اشتراک گذاری
BlackLuv17 ⚡⚡⚡
BlackLuv17 ⚡⚡⚡
2 سال

https://youtube.com/shorts/_Az....RAb3ppy0?si=66icOreY


Smart and funny rolled up in One child 🤭🤭🤭

پسندیدن
اظهار نظر
اشتراک گذاری
Showing 12082 out of 21482
  • 12078
  • 12079
  • 12080
  • 12081
  • 12082
  • 12083
  • 12084
  • 12085
  • 12086
  • 12087
  • 12088
  • 12089
  • 12090
  • 12091
  • 12092
  • 12093
  • 12094
  • 12095
  • 12096
  • 12097

ویرایش پیشنهاد

افزودن ردیف








یک تصویر را انتخاب کنید
لایه خود را حذف کنید
آیا مطمئن هستید که می خواهید این ردیف را حذف کنید؟

بررسی ها

برای فروش محتوا و پست های خود، با ایجاد چند بسته شروع کنید. کسب درآمد

پرداخت با کیف پول

هشدار پرداخت

شما در حال خرید اقلام هستید، آیا می خواهید ادامه دهید؟

درخواست بازپرداخت